Équipe
Physiologie et Physiopathologie Spermatique
Dpt: Environnement, Reproduction, Infections, Cancer
Nos activités de recherche

Nos axes de recherche
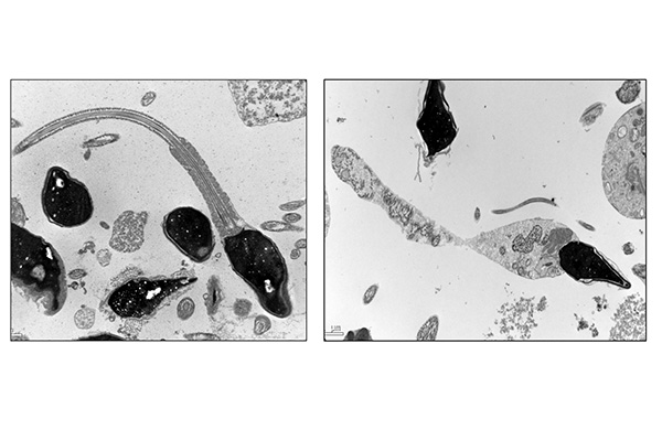
Définition des mécanismes moléculaires et cellulaires impliqués dans l'assemblage et la structure du flagelle des spermatozoïdes par analyse comparative avec les cils et les flagelles au cours de l’évolution.
En savoir plusCaractérisation des voies métaboliques énergétiques et des voies de signalisation activées par les canaux ioniques transmembranaires et les récepteurs au cours de la mobilité et de l'activation fonctionnelle des spermatozoïdes.
En savoir plusCaractérisation des causes génétiques et des mécanismes physiopathologiques associés à l'infertilité masculine pour l’élaboration de stratégies thérapeutiques et contraceptives.
En savoir plusNos publications majeures
Voir toutes les publicationsNos activités en images
Nos collaborations
- AMSELEM Serge & LEGENDRE Marie, AP-HP Trousseau. France
- BONHIVERS Mélanie, Bordeaux University. France
- DURAND Bénédicte, Lyon University. France
- FAUVARQUE Marie-Odile & BARETTE Caroline, CEA Grenoble. France
- HENNEBICQ Sylviane, CHU Grenoble Alpes. France
- PATRAT Catherine & DULIOUST Emmanuel, AP-HP Cochin. France
- PRIP-BUUS Carina, Institut Cochin, Paris. France
- RAY Pierre, CHU Grenoble Alpes. France
- SAEZ Fabrice, Gred Clermont-Ferrand. France
- SEIDLER Ursula, Hannover Medical School. Germany
- SIRONEN Anu, University College London, UK
- ZHANG Zhibing, Wayne State University. USA
Nos technologies
- Biochimie
- Biologie cellulaire
- Biologie moléculaire
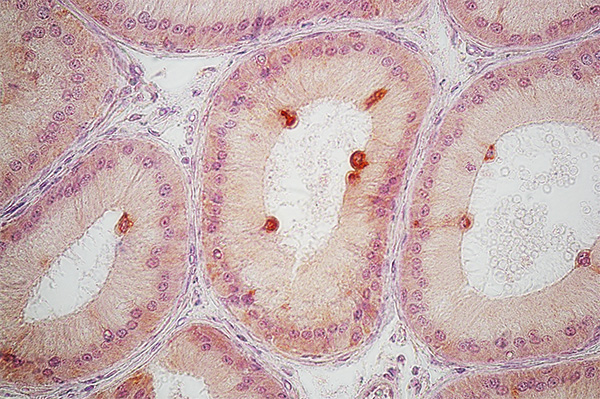
- Histologie & Immunohistochimie
- Imagerie cellulaire : microscopie épifluorescence, super résolution
- Imagerie ultrastructurale : microscopie électronique à transmission et à balayage
- Protéomique
- Analyses spermatiques : spermogramme, spermocytogramme