26 Janvier 2026
Le syndrome de Li-Fraumeni est une maladie génétique rare qui expose les personnes porteuses à…
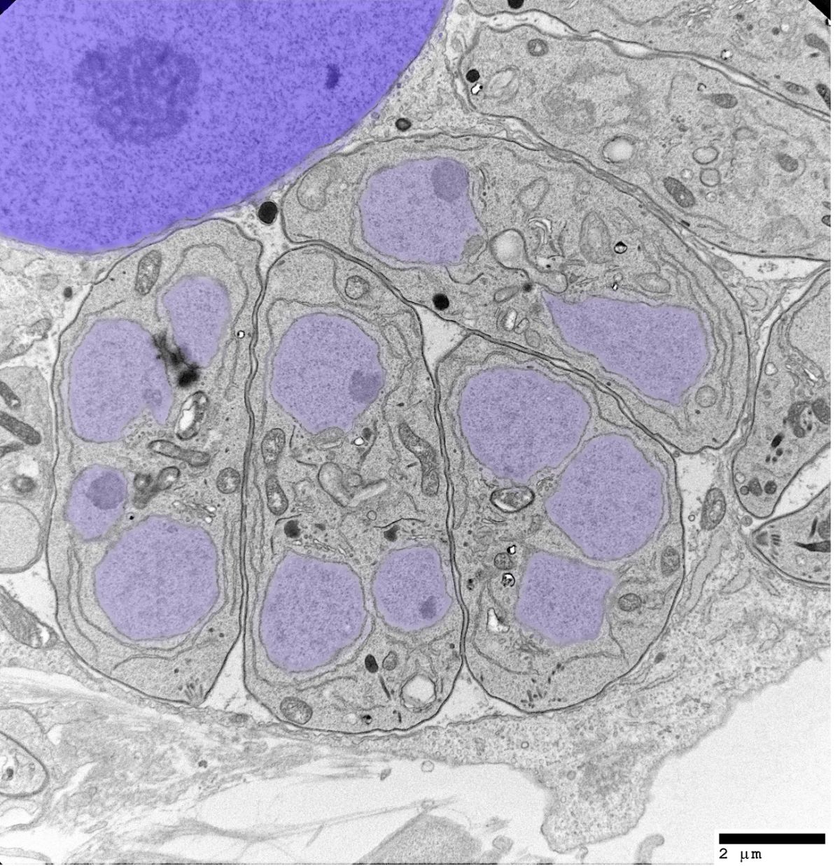
10 Décembre 2025
Une étude de l’Inserm, en collaboration avec le CNRS, l’Université Grenoble Alpes (UGA), le centre…
26 Novembre 2025
Le 25 novembre 2025, l’Académie des sciences a rassemblé à nouveau, sous la Coupole du…
24 Novembre 2025
Jeudi 27 novembre, l’Inserm célèbrera par la remise de ses prix annuels celles et ceux…
20 Novembre 2025
La Fondation Université Grenoble Alpes, l'Institut pour l'Avancée des Biosciences et l'Association Cœur Couleur (association…
07 Novembre 2025
À ce jour incurables, les neuropathies périphériques[1] sont des complications neurologiques fréquentes de la chimiothérapie,…
28 Octobre 2025
Une étude menée par l’équipe de Jérôme Govin explore de nouvelles pistes thérapeutiques contre les…
22 Octobre 2025
Une étude menée par l’équipe de Mohamed-Ali Hakimi est parvenue à caractériser le cycle sexué…
10 Octobre 2025
Omniprésents dans notre quotidien, les per- et polyfluoroalkylées (PFAS) sont associés à des conséquences néfastes…
10 Septembre 2025
Nous avons eu la grande tristesse d’apprendre le décès du Professeur Michel Robert-Nicoud, survenu le…
18 Août 2025
“To live is the rarest thing in the world. Most people exist, that is all.”— Oscar…
11 Juin 2025
Une équipe de recherche internationale pilotée en France par l’Inserm, le CNRS, le CHU Grenoble-Alpes,…